Bad to the Bone

Stained tibiae from germ-free (left) and SFB-mono- associated (right) mice.
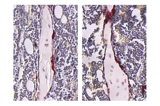
Stained tibiae from germ-free (left) and SFB-mono- associated (right) mice. Mice colonized with SFB displayed an increase in osteoclasts (stained red), which resorb bone.

Specific gut bacterium impairs normal skeletal growth and maturation

By Matthew Greseth

The gut microbiome, the collection of microorganisms that colonize the healthy gut, can regulate host biological functions, including skeletal health. MUSC researchers who study osteoimmunology, the interface of the skeletal and immune systems, recently examined the impact of segmented filamentous bacteria (SFB) on postpubertal skeletal development.

Their results, published in the Journal of Bone and Mineral Research Plus, showed that SFB elevated the responses of specific immune cells in the gut and the liver, leading to increased osteoclast activity and decreased osteoblast activity. The cumulative effect was impaired bone mass accrual.

“This is the first known report to show that within the complex gut microbiome, specific microbes have the capacity to effect normal skeletal growth and maturation,” said Chad M. Novince, D.D.S., Ph.D., assistant professor in the MUSC colleges of Medicine and Dental Medicine.

To study the effects of SFB and the gut microbiome on skeletal health, the Novince lab utilized a mouse model with a defined microbiota. This research was facilitated by MUSC’s Gnotobiotic Animal Core, which is directed by Caroline Westwater, Ph.D., a professor in the College of Dental Medicine.

The Novince lab examined whether the presence of SFB within a complex gut microbiota could influence normal skeletal development. Indeed, the presence of SFB led to reduced trabecular bone volume — the type of bone that undergoes high rates of bone metabolism — and to a proinflammatory immune state in the gut.

Interestingly, the presence of SFB also profoundly stimulated hepatic immunity by upregulating proinflammatory immune factors and increasing TH17 cells in the liver draining lymph nodes. Furthermore, SFB colonization resulted in increased circulating levels of IL-17A and the antimicrobial peptide Lipocalin-2 (LCN2), both of which support osteoclast activity and suppress osteoblast activity.

These data show that SFB plays a role in regulating the immune response in both the gut and the liver, which has significant effects on the skeleton and provides strong support that gut micro-biota actions on the skeleton are mediated in part through a gut-liver-bone axis.

Additionally, the contribution of SFB to skeletal health may have significant clinical implications. It is known that diet, probiotics and antibiotics influence the makeup of the microbiome. A majority of a person’s bone mass, approximately 40%, accrues during adolescence. As people age, they slowly begin to lose bone mass, which puts them at risk for fractures and osteoporosis. Modulation of SFB could allow for the buildup or optimization of peak bone mass accrual during adolescence, limiting the risk for aging- associated low bone mass.

“If we can prevent the colonization or deplete specific microbes such as SFB from the microbiome, there is clinical potential to optimize bone mass accrual during postpubertal skeletal development,” said Novince.

Amelia
Virtual Assistant
Hello, I am Amelia. How can I help you today? If this is a medical emergency, please call 911 or report to your local emergency room.
Chat with us